Abuelita descubre que llevó una aguja en el cerebro por 80 años
Médicos detallaron que el objeto estuvo alojado en su cerebro desde su nacimiento y explicaron que es probable que sus padres hayan trataron de matarla en su infancia.

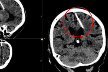
Lo que era un chequeo médico rutinario se convirtió en una pesadilla luego de que especialistas hallaron una aguja de 3 centímetros de largo en el cerebro de una mujer de 80 años en Rusia.
Te puede interesar: Abuelita de 84 años va al hospital por un malestar y descubren un feto de 40 años
De acuerdo con el Ministerio de Salud, radiólogos dieron con el objeto en una radiografía. Un caso muy similar al que ocurrió hace varios años, cuando le encontraron a un soldado afgano un explosivo en la cabeza.
Aunque no se han revelado detalles del lugar exacto en donde ocurrió este suceso, o la fecha en la que se registró, autoridades sanitarias dijeron que la aguja se encontraba en el lóbulo parietal izquierdo de la mujer anónima quien al parecer la tuvo alojada en el cerebro desde que era una bebé y nunca le provocó molestias ni dolores de cabeza.

En tanto, los médicos detallaron que el objeto estuvo alojado en su cerebro desde su nacimiento y explicaron que es probable que sus padres hayan trataron de matarla en su infancia, una práctica muy recurrida en tiempos de guerra y hambruna.
También puedes leer: Abuelita millonaria queda embarazada de su novio de 19 años y revela el género del bebé

Durante la Segunda Guerra Mundial los padres desesperados introducían una aguja en un punto blando de la cabeza del recién nacido, conocido como la fontanela, donde los huesos del cráneo aún no se habían fusionado, el punto se cierra y oculta la aguja, y el bebé moría.
Los médicos decidieron no retirar el objeto del cebero de la mujer, ya que no representa un peligro para ella y ha vivido sin problemas de salud durante toda su vida, por lo que someterla a una cirugía podría ser riesgoso por su edad y podría ser grave para ella.
CONSULTA AQUÍ LAS NOTICIAS DE ÚLTIMA HORA
*brc
EL EDITOR RECOMIENDA



