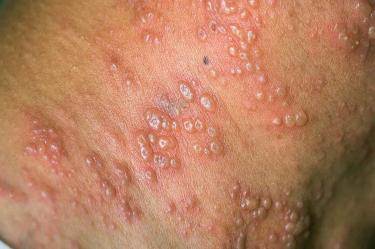
Confirman 9 casos de viruela de mono en Jalisco
El secretario de Salud del estado, Fernando Petersen Aranguren, explicó que se confirmaron dos nuevos casos, los cuales no estaban en seguimiento y que corresponden a dos pacientes extranjeros.

Autoridades sanitarias de Jalisco confirmaron que el estado contabiliza nueve casos de viruela del mono, dos de los cuales no habían sido detectados anteriormente, así como otros dos sospechosos.
El secretario de Salud del estado, Fernando Petersen Aranguren, explicó que se confirmaron dos nuevos casos, los cuales no estaban en seguimiento y que corresponden a dos pacientes extranjeros.
De los casos positivos cuatro se encuentran en Guadalajara y tres en Puerto Vallarta; además de dos que permanecen como sospechosos.
El funcionario descartó que exista una transmisión comunitaria en la entidad, pues aseguró que todos los infectados contrajeron el virus ya que tuvieron contacto con extranjeros.
Fue el pasado 11 de junio cuando se confirmó el primer caso positivo detectado en Jalisco, en el que un turista estadounidense que presuntamente se contagió en Texas y estuvo vacacionando en el club de playa Mantamar Beach Club, a finales de mayo.
El extranjero asistió a varias fiestas en el lugar, sin embargo, comenzó a presentar síntomas, por lo que, al ser diagnosticado y aislado en el hospital, éste escapó y regresó a Estados Unidos.
Hasta el momento, continúan en seguimiento epidemiológico 55 personas, luego de que se confirmaran tres casos en el club, por lo que la Secretaría de Salud advirtió que podrían aumentar pues se necesitan de 21 días para presentar síntomas.
*brc
EL EDITOR RECOMIENDA




