Suman 3 casos de viruela símica en Chiapas
La Secretaría de Salud en Chiapas, dio a conocer que se detectaron 3 casos de viruela símica. El primer caso ya fue dado de alta, del hospital Gilberto Gómez Maza en Tuxtla Gutiérrez.

La Secretaría de Salud en Chiapas, dio a conocer que se detectaron 3 casos de viruela símica. El primer caso ya fue dado de alta, del hospital Gilberto Gómez Maza en Tuxtla Gutiérrez.
Los dos casos más, se ubican en Tuxtla Gutiérrez, se trata de personas del sexo masculino y son ambulatorios, cuyo estado de salud se reportan estable y están bajo seguimiento epidemiológico y manejo médico integral de manera ambulatoria; además que no cuentan con contactos directos.
José Manuel Cruz Castellanos, secretario de Salud en la entidad explicó que en lo correspondiente al caso número dos (masculino de 37 años), detalló que de acuerdo a su proceso de contagio y evolución su fecha de alta será el próximo 13 de agosto.
Asimismo, señaló que ayer lunes fue dado de alta epidemiológica el primer caso confirmado de viruela símica, tras haber concluido el periodo infeccioso.
Exhortó a la población a seguir las medidas de prevención en torno a esta enfermedad que se transmite por contacto directo piel con piel, que son: lavar frecuentemente las manos; cubrir nariz y boca al toser; y evitar compartir alimentos, cubiertos y platos.
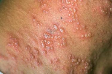
En caso de presentar fiebre, dolor de cabeza intenso, inflamación de ganglios, dolor de espalda y cintura, dolores musculares, cansancio y posteriormente erupción cutánea, se debe acudir a la unidad médica más cercana.
*brc
EL EDITOR RECOMIENDA




