Padecía dolores de cabeza, su cerebro estaba lleno de larvas
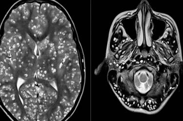
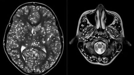
Tras practicarle una resonancia magnética, los especialistas encontraron que la corteza cerebral y el tronco encefálico del paciente estaban llenos de larvas

CIUDAD DE MÉXICO
Como bien sabes, es necesario lavar los alimentos antes de comerlos y acudir a lugares con buena higiene para evitar enfermedades, desde infecciones leves hasta padecimientos mortales.
Recientemente se dio a conocer el caso de un joven de 18 años plagado con quistes provocados por un parásito porcino.
Cadena perpetua por dejar a su hijo morir infestado de gusanos
El afectado, al que tristemente los doctores no pudieron salvarle la vida, acudió a urgecias por fuertes dolores de cabeza y convulsiones.
Tras practicarle una resonancia magnética y exámenes de ultrasonido, los especialistas encontraron que la corteza cerebral y el tronco encefálico del paciente estaban llenos de larvas.

El muchacho padecía neurocisticercosis, una enfermedad parasitaria originada cuando una persona ingiere huevos microscópicos de una tenia porcina y que afecta al tejido muscular. De ahí los parásitos se propagan al cerebro. Los personas infectadas pueden pasar mucho tiempo sin presentar síntomas.
A pesar de que esta afección se puede tratar con medicamentos, el elevado número de quistes no permitió al chico que se le suministraran los fármacos antiparasitarios necesarios.
El paciente fue tratado con corticoides estándares y medicamentos para evitar que se le manifestaran ataques epilépticos. Sin embargo, no se pudo revertir la situación y murió dos semanas después.
El caso ha sido publicado en un artículo de la revista New England Journal of Medicine.
***MJPR***
EL EDITOR RECOMIENDA



