Qué es la silicosis, la enfermedad que daña los pulmones de los trabajadores de la construcción
La inhalación de polvo de piedra en obras puede ser fatal. Aprenda por qué esta afección respiratoria irreversible acecha a miles de trabajadores hoy.

Inhalar el polvo en una obra puede ser letal. Entender qué es la silicosis implica reconocer una tragedia que asfixia a los trabajadores de la construcción mientras el mundo admira sus acabados de lujo.
Instituciones como MedlinePlus y el Departamento de Servicios de Salud de Texas definen esta patología como una fibrosis pulmonar irreversible. Investigaciones recientes, alertan sobre una epidemia creciente vinculada a la industria del cuarzo artificial.

La anatomía de un enemigo invisible: el polvo de sílice
La silicosis no es una enfermedad nueva, pero ha encontrado un nuevo campo de batalla en las cocinas modernas. Se produce por la inhalación de partículas microscópicas de sílice cristalina, un mineral común en la arena, la piedra y el granito. Cuando estos materiales se cortan, pulen o perforan, liberan un polvo tan fino que es capaz de burlar las defensas naturales del sistema respiratorio.
Al llegar a los alvéolos, estas partículas actúan como cristales diminutos que el cuerpo no puede eliminar. El sistema inmunitario, en un intento desesperado por defenderse, genera una inflamación crónica que deriva en cicatrices permanentes. Según el Departamento de Servicios de Salud de Texas, este tejido cicatricial impide que los pulmones se expandan y realicen el intercambio de oxígeno necesario para la vida. Es, en esencia, una petrificación interna de los órganos vitales.

El auge del cuarzo y la crisis de los cortadores de piedra
Existe una ironía cruel en el hecho de que el deseo estético de una "cocina perfecta" esté acelerando la muerte de hombres jóvenes. El cuarzo artificial, extremadamente popular hoy en día, contiene concentraciones de sílice de hasta el 90%, comparado con el 30% del granito natural.
Reportajes de medios internacionales han documentado casos desgarradores de trabajadores en California y Texas que, a sus 30 años, requieren trasplantes de pulmón. Los testimonios describen una sensación de "tener los pulmones vacíos" o llenos de arena. Esta variante, conocida como silicosis acelerada, se desarrolla en apenas unos años de exposición intensa, a diferencia de la versión crónica que solía afectar a mineros tras décadas de labor.
La negligencia en el taller de corte
A pesar de las regulaciones, la realidad en muchos talleres de construcción es distinta. El corte "en seco" (sin agua para suprimir el polvo) sigue siendo una práctica común para ahorrar tiempo, convirtiendo el aire en una neblina tóxica. La falta de equipos de protección personal (EPP) adecuados y la ventilación insuficiente son los cómplices silenciosos de esta epidemia industrial.

Síntomas y diagnóstico: ¿Cómo se manifiesta la silicosis?
El inicio de la enfermedad es insidioso. Al principio, puede parecer una tos persistente o una fatiga leve que el trabajador atribuye al esfuerzo físico cotidiano. Sin embargo, según MedlinePlus, a medida que la fibrosis avanza, los síntomas se vuelven innegables:
- Dificultad respiratoria severa (disnea), incluso en reposo.
- Tos fuerte y seca que no cede con medicamentos comunes.
- Dolor en el pecho y fatiga extrema.
- Pérdida de peso inexplicable.
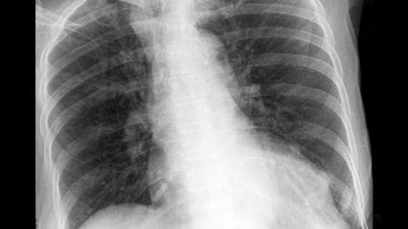
El diagnóstico suele requerir radiografías de tórax o tomografías computarizadas (TAC) donde se observan nódulos o masas de tejido fibroso. En etapas avanzadas, la silicosis aumenta drásticamente el riesgo de desarrollar tuberculosis, cáncer de pulmón y enfermedades autoinmunes como la esclerodermia.

El costo humano del "diseño asequible"
Es fácil ignorar el origen de los materiales que nos rodean. La sociedad prefiere no mirar hacia los talleres polvorientos donde se moldean las tendencias. Sin embargo, como bien señala la investigación, la silicosis es una enfermedad 100% prevenible si se implementan medidas de seguridad estrictas, como el uso de herramientas con suministro de agua y respiradores N95 o de grado superior.
La crítica aquí no es solo hacia los empleadores negligentes, sino hacia un sistema de consumo que prioriza la velocidad y el bajo costo sobre la integridad física de quienes operan las sierras. Mientras el cuarzo siga siendo el rey de las remodelaciones, la silicosis seguirá cobrando vidas si no hay un cambio radical en la supervisión laboral.

Medidas de protección esenciales en la industria
Para los trabajadores de la construcción y remodelación, la vigilancia médica es vital. Según fuentes de salud ocupacional, los empleadores deben proporcionar:
- Sistemas de supresión de polvo: Uso constante de agua durante el corte.
- Ventilación por extracción local: Para capturar las partículas en la fuente.
- Protección respiratoria certificada: Ajustada correctamente a la cara del trabajador.
- Higiene personal: No llevar la ropa de trabajo a casa, para evitar que la familia inhale el polvo residual.
La silicosis representa una de las fallas más críticas de la salud ocupacional moderna. No es simplemente una dolencia del pasado minero, sino una amenaza vigente en el sector de la construcción y las encimeras. Entender su origen y sus devastadores efectos es fundamental para detener la pérdida de vidas evitables.
Si usted trabaja en contacto con polvo de piedra o construcción y presenta síntomas respiratorios, es imperativo que consulte a su médico de inmediato para una evaluación pulmonar completa. La detección temprana es la única herramienta para gestionar una condición que, de otro modo, le robará el aliento permanentemente. La salud de sus pulmones no es negociable frente a ningún proyecto arquitectónico.
EL EDITOR RECOMIENDA



