¡De la lona al hospital! Mario Bautista es operado tras la pelea con Aarón Mercury
Mario Bautista fue operado tras lesionarse en su pelea contra Aarón Mercury.

Lo que comenzó como un espectáculo lleno de adrenalina terminó en una visita al quirófano. El cantante e influencer Mario Bautista sorprendió a sus seguidores al revelar que tuvo que ser operado tras la pelea que protagonizó contra Aarón Mercury en el evento Supernova Génesis 2026.
¿Qué le pasó a Mario Bautista?
El combate, que generaba gran expectativa entre los fans, terminó de forma inesperadamente rápida. En apenas un round, Aarón Mercury logró noquear a Mario Bautista, dejando al cantante no solo con la derrota, sino también con una lesión importante en la mano.

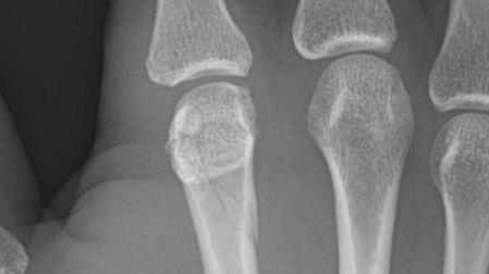
Horas después del combate, Mario compartió una radiografía de su mano lesionada junto a un mensaje que rápidamente se volvió viral:
Nudillo roto, Canelo voy por ti”.

Mario Bautista es sometido a cirugía
A través de sus redes sociales, Mario compartió una imagen desde la cama del hospital, donde se le puede ver con una férula en el brazo tras la operación.

Fiel a su estilo relajado y cercano con sus seguidores, acompañó la publicación con un mensaje positivo: agradeció el apoyo recibido y aseguró que la cirugía fue todo un éxito.
¿Cuál es el estado de salud de Mario Bautista?
Lejos de generar preocupación, el cantante ha mantenido informados a sus fans sobre su proceso de recuperación, mostrando una actitud optimista.
Aunque no se han dado detalles sobre cuánto tiempo estará fuera de actividades, el cantante ya ha dejado ver que está enfocado en sanar.
En sus historias recientes, incluso se le ha visto ya fuera del hospital, disfrutando de momentos en familia y retomando poco a poco su rutina.

En uno de los clips, aparece en un automóvil acompañado de su mamá, cantando música y dejando ver que su ánimo sigue intacto.
El evento donde ocurrió la lesión es uno de los más comentados del momento, donde celebridades e influencers se suben al ring para demostrar habilidades fuera de su zona de confort.
El caso de Mario Bautista pone sobre la mesa los riesgos físicos que implican este tipo de eventos. Aunque suelen estar diseñados como entretenimiento, el boxeo —incluso en formato amateur o de exhibición— conlleva un nivel de exigencia y peligro real.