Prevenir la neumonía, obligación de la temporada
Las medidas para prevenirlas en este momento son ampliamente conocidas por todos, pues son las mismas que se aplican para prevenir contagios por la pandemia de coronavirus

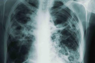
La neumonía está en el top 10 de las causas de muerte de las y los mexicanos, por eso en el Día Mundial contra la Neumonía, Adrián Rendón, especialista en neumología, llama a prevenir dicha enfermedad.
“La neumonía es una infección en el pulmón, las causas de esa infección son muchas, las más frecuentes son bacterias y los virus, ahora estamos muy familiarizados por el virus del covid como causa de neumonía, pero esto es un problema reciente; tradicionalmente los gérmenes que ocasionan la neumonía es uno muy conocido como el neumococo una bacteria, o el virus de la influenza, ahora se suma el del covid".
Las medidas para prevenirlas en este momento son ampliamente conocidas por todos, pues son las mismas que se aplican para prevenir contagios por la pandemia de coronavirus. Y por supuesto la mejor defensa es la vacunación.
"Lo que más sirve es la vacunación, lo mismo que estamos viendo en covid, lo que más ha servido qué es, la vacunación, tenemos vacunas para prevenir influenza, tenemos vacunas para prevenir neumococo, tenemos vacunas para prevenir la tosferina del adulto que también puede afectar el pulmón, entonces lo que tenemos que hacer es promover el uso de estas vacunas”.
Los grupos de población más afectados por la influenza son los menores de cinco años, así como las personas mayores de 65 años, así como factores de riesgo, por eso en el país las campañas de vacunación van dirigidas a ese grupo poblacional, aunque en Estados Unidos la vacunación contra influenza es universal a partir de los seis meses.
*brc
EL EDITOR RECOMIENDA




