Vecinos de Tlalpan, CDMX piden encontrar a los dueños de una perrita que fue agredida
Vecinos refieren que se está evaluando si requiere cirugía, piden apoyo de las autoridades para evitar que más animales sean maltratados

Vecinos de la alcaldía Tlalpan dieron a conocer por medio de sus “Redes Sociales” el maltrato de una perrita de 11 meses de edad que llegó a refugiarse a las instalaciones de un supermercado, ubicado en la zona de Villa Copa y buscan de manera urgente a sus dueños.
Señalan como responsable a un elemento de la Policía Bancaria industrial -PBI-, quien presta sus servicios de vigilancia en el Supermercado de agredirla de manera violenta para que no ingresara a la tienda, la pateo hasta causarle múltiples lesiones y dejarla inmóvil.
Al percatarse los vecinos fueron a reclamar al policía y al gerente del supermercado, pero negaron rotundamente la acción.
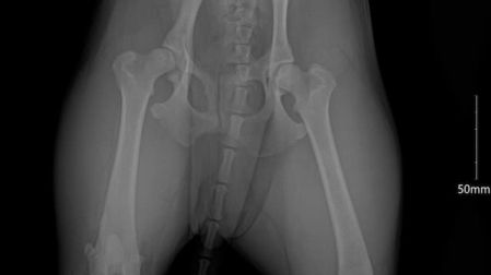
De inmediato los vecinos la rescataron y la llevaron al veterinario, ha recibido atención médica, sus lesiones son valoradas por medio rayos “X”, ultrasonido y esta medicada, cuya suma se ha elevado y piden apoyo para pagar los gastos

El veterinario les comentó que presenta luxación coxofemoral, es decir luxación de cadera, una condición dolorosa y limitante, ocurre cuando la cabeza del fémur, el hueso del muslo, se separa de su cavidad natural en la pelvis, lo que puede presentar complicaciones a largo plazo si no se aborda de manera oportuna y adecuada.
Los vecinos conmocionados comentan que se está evaluando si requiere cirugía, piden apoyo de las autoridades para evitar que más animales sean maltratados
“Explicaron los vecinos de no encontrar a los dueños se pondrá en adopción, una vez que se recupere”
AIHC
EL EDITOR RECOMIENDA



