¿Qué es la leucemia y cuáles son sus síntomas?
Descubre qué es la leucemia y cuáles son sus síntomas, es vital identificarlos y tratarla a tiempo.

La leucemia es una enfermedad que impacta directamente la sangre y la médula ósea, y aunque puede parecer lejana y creemos que no la tendremos, la realidad es que afecta a miles de personas cada año.
Comprender qué es la leucemia resulta fundamental para detectar sus señales a tiempo y acceder a un tratamiento adecuado. Este tipo de cáncer tiene distintas formas, cada una con sus propias características y evolución.
¿Qué es la leucemia?
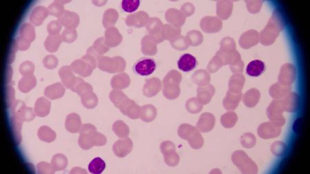
En pocas palabras, la leucemia es un tipo de cáncer que comienza en la médula ósea, esta médula es el tejido blando que se encuentra en el centro de algunos huesos y que es responsable de producir las células sanguíneas.
Lo que ocurre en esta enfermedad es que ciertas células, por lo general los glóbulos blancos, empiezan a crecer de manera descontrolada y no maduran como deberían. Estas células anormales invaden la sangre y pueden afectar el funcionamiento de otros órganos vitales.
Existen distintos tipos de leucemia, y se clasifican según su velocidad de avance, agua y crónica, y el tipo de célula afectada (linfoide o mieloide).

Por ejemplo, la leucemia linfoblástica aguda es la más común en niños, mientras que la leucemia mieloide crónica (LMC) suele presentarse en mayor frecuencia en adultos. Cada una de estas variantes tiene síntomas, tratamientos y pronósticos diferentes.
Los expertos aún investigan las causas exactas de la leucemia, porque no son tan claras, aunque se sabe que algunos factores pueden aumentar el riesgo, como la exposición a radiación, ciertos químicos, antecedentes familiares o trastornos genéticos como el síndrome de Down.
El diagnóstico generalmente se confirma con análisis de sangre y biopsias de médula ósea, que permiten identificar la presencia y tipo de células malignas.
El tratamiento depende de cada tipo de leucemia y del estado general del paciente. Puede incluir quimioterapia, inmunoterapia, terapia dirigida, radioterapia o trasplante de médula ósea.
Aunque el término “cáncer” genera miedo, en muchos casos la leucemia puede tratarse con éxito, especialmente si se detecta a tiempo. Por eso, es clave reconocer los síntomas y acudir al médico ante cualquier señal de alerta.

¿Cuáles son los síntomas de la leucemia?
Como lo dijimos en los párrafos anteriores, los síntomas de la leucemia pueden ser muy variados, y a veces se confunden con los de otras enfermedades más comunes, como una gripe fuerte o una infección de otro tipo.
Por eso es importante conocer las señales y síntomas que pueden indicar que algo no anda bien con las células de la sangre. Uno de los signos más frecuentes es el cansancio constante, incluso después de dormir bien. Esto se debe a que la médula ósea no produce suficientes glóbulos rojos, lo que puede causar anemia.
Otro de los síntomas más usuales es la aparición de moretones con facilidad o sangrados frecuentes en encías o nariz, ya que la producción de plaquetas también se ve afectada.
Las personas con leucemia pueden presentar fiebre sin causa aparente, sudoración nocturna intensa o infecciones que no mejoran con el tratamiento aplicado para dicha infección. Además, se puede notar una pérdida de peso rápida o dolor en huesos y articulaciones.
En algunos casos, los ganglios linfáticos como los del cuello, axilas o ingles pueden inflamarse sin dolor. También puede haber sensación de falta de aire al hacer esfuerzos mínimos. Todos estos síntomas pueden desarrollarse de forma lenta o rápida, dependiendo del tipo de leucemia.
Por eso, si alguien presenta varios de estos signos durante varias semanas, lo mejor es acudir al médico y realizar estudios de sangre. Un diagnóstico temprano hace una gran diferencia en el tratamiento y el pronóstico oportuno.
Video recomendado:
EL EDITOR RECOMIENDA



