Uso de celulares provocaría crecimiento de 'cuerno', firma científico
El científico alertó sobre las consecuencias que trae el uso excesivo del teléfono celular

PAKISTÁN.
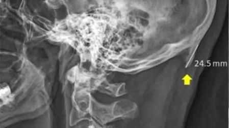
Una investigación publicada en la revista Journal of Anatomy reveló que el uso de los teléfonos celulares está provocando la salida de una especie de cuerno en el cráneo humano.
David Shahar, científico encargado de la investigación, reveló que existe una tendencia al crecimiento de una pequeña protuberancia en forma de pico en el cráneo humano.
El investigador atribuye esto al uso excesivo del celular.
Presunto violador se salva de ser linchado por vecinos

Este bulto, indica, puede sentirse al tacto y, con la calvicie, puede resultar visible a simple vista.
Para este trabajo, el investigador de la Universidad de Sunshine Coast, en Australia, revisó a 218 personas de entre 18 y 20 años de edad, en el año 2016.
Un 41% de los sujetos muestra revelaron el pequeño pico de más de 10 milímetros.
Condenan a violador; abusó de su esposa porque 'era domingo'

Para el año 2018, el científico examinó a mil 200 personas determinando que esta ‘malformación’ aparece en mayor medida entre los 18 y 30 años de edad.
Shahar afirma que esto es debido a la inclinación que ejercemos para poder ver las pantallas de nuestros celulares pues, existe esto tensa los músculos para sostener la cabeza que tiene un peso aproximado de unos 5 kilogramos.
Con esta presión ejercida durante mucho tiempo se puede provocar la aparición de este pico, afirmó el científico.
emb
EL EDITOR RECOMIENDA



