¿Cuánto tiempo tarda un tumor en hacer metástasis?
¿Sabes cuánto tiempo tarda un tumor en hacer metástasis? Te decimos el tiempo aproximado de acción antes de que sea tarde.

Cuando hay un diagnóstico de tumores, es importante que sepas cuánto tiempo tarda un tumor en hacer metástasis, pues recuerda que el tiempo de acción puede hacer completamente la diferencia.
¿Qué tan rápido crece un tumor maligno?
De acuerdo con información del Centro Oncológico Internacional, los tumores malignos tienden a crecer en sólo unos meses, de hecho, suelen tener un crecimiento más rápído en comparación con los tumores benignos.
Los tumores son considerados como una masa anormal que se forma cuando las células del cuerpo se dividen y multiplican exageradamente.
Lo peligroso de los tumores es que se corre el riesgo de que las células cancerosas se inflitren en el flujo linfático o sanguíneo, haciendo que el tratamiento para el cáncer sea mucho menos efectivo y pudiendo provocar la muerte del paciente.

¿Cómo saber si hay metástasis en el cuerpo?
El Instituto Nacional del Cáncer en Estados Unidos señala que el cáncer metastásico siempre tiene síntomas, aunque estos varían según la zona donde estén los tumores metastásicos, por ejemplo:
- Hay fracturas y roturas si el cáncer se diseminó al hueso
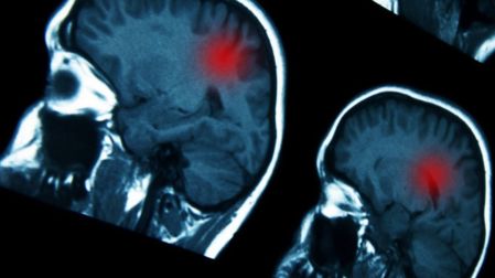
- Existen dolores de cabeza, mareos, crisis convulsivas cuando el cáncer se diseminó al encéfalo (cerebro)
- Cuando el cáncer se extendió al pulmón hay falta de aliento
- Hinchazón en el vientre o tono amarillento de la piel y los ojos cuando el cáncer se extendió al hígado

¿La metástasis tiene cura?
Según los expertos, a pesar de que hay tratamientos para los cánceres metastásicos, estos no son efectivos para curar el cáncer metastásico pero sí para controlarlo.
Es decir, no te podrás deshacer del cáncer metastásico pero sí alargar la esperanza de vida por unos meses e incluso en algunos casos, por años.
Sin embargo, también hay casos en los que los tratamientos sólo son paliativos, es decir, solamente sirven para controlar el dolor y las molestias para que la persona tenga una calidad de vida aceptable hasta el final.
Ahora que ya sabes cuánto tiempo tarda un tumor en hacer metástasis, recuerda que la detección temprana es clave para alargar la esperanza y calidad de vida, por lo que no olvides observar tu cuerpo y acudir con regularidad a revisiones médicas.
EL EDITOR RECOMIENDA



