¡Aterrador!; joven va al dentista y descubre que tiene los huesos negros
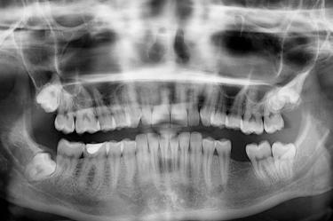
El joven decidió ir un día cualquiera al dentista para extraerse las muelas del juicio, pero al sacar la primera ocurrió algo que le heló la sangre a él y al médico, pues su muela tenía un aspecto indescriptible.

Acudir al dentista puede tornarse en una experiencia incomoda y llena de dolor, aunque necesaria, no es la mejor de las sensaciones, pero, qué ocurre cuando en una cita con este especialista descubre algo realmente perturbador.
Te puede interesar: Niños confunden a 'Drag Queen' con Elsa de 'Frozen' y se toman fotos con ella
Así le ocurrió a un joven que un día cualquiera decidió ir al dentista para extraerse las muelas del juicio, pero al sacar la primera ocurrió algo que le heló la sangre a él y al médico, pues su muela tenía un aspecto indescriptible.
Fue a través de un video publicado en TikTok, que este joven, de nombre Archie decidió compartir su experiencia y explicar lo que sucedió, pues asegura que cuando el dentista sacó la muela, esta lucía totalmente negra y no blanca.
En la cuenta @archiebeshort, el joven explica que al ver esto quedó en shock y lo primero que le vino a la mente es que sus dientes se estaban pudriendo, pero lo más aterrador fue que no solo sus muelas de juicio están negras, sino que todo su cráneo, e incluso su esqueleto entero son de ese color.
"Me salió la muela del juicio y estaba negra, y yo estaba como 'Dios mío, mis dientes se están pudriendo… y resulta que mi mandíbula está negra, y probablemente el resto de mi cráneo y la mayoría de mis huesos, lo están también, según mi médico".
Archie también explicó qué fue lo que ocasionó esta condición en sus huesos y alertó que, en ciertas circunstancias excepcionales, pueden volverse negros.
De acuerdo con el joven, esto pudo haber ocurrido debido a que, en cuando estudiaba en la escuela secundaria, tomó minociclina, un antibiótico de tetraciclina, para tratar el acné de su rostro.
Aparentemente, fue algo que no tuvo efectos secundarios hasta que empezaron a salirle las muelas del juicio.
Es un trastorno denominado alcaptonuria que conduce a ocronosis. La deficiencia enzimática que produce provoca la acumulación de ácido homogentísico (HGA) a una velocidad 2000 veces superior a la normal.
También puedes leer: ¿Es el fin del mundo?; desconcierta extraño comportamiento de animales alrededor del mundo
El HGA se une al cartílago, al hueso y a los pigmentos, volviéndolos negros, de ahí el nombre popular de enfermedad del hueso negro.
A pesar de que se escucha bastante perturbador, al parecer se trata de un padecimiento benigno y no se asocia con necrosis o muerte del tejido, por lo que este joven podrá tener una vida completamente normal.
*brc
EL EDITOR RECOMIENDA




