Día de Concientización sobre el Síndrome de Moebius: qué es y por qué se conmemora
El Día de Concientización sobre el Síndrome de Moebius visibiliza una condición congénita poco frecuente que impacta la expresión facial y el acceso a diagnósticos oportunos.

Hay personas que no pueden sonreír, fruncir el ceño o expresar sorpresa con el rostro, pero eso no significa que no sientan, comprendan o se emocionen.
Cada 24 de enero, el Día de Concientización sobre el Síndrome de Moebius pone sobre la mesa una condición poco frecuente que desafía la forma en que la sociedad interpreta las emociones y recuerda por qué la información, el diagnóstico oportuno y la inclusión siguen siendo tareas pendientes en el ámbito de la salud pública.

¿Qué es el síndrome de Moebius?
El síndrome de Moebius es un trastorno congénito —presente desde el nacimiento— y no progresivo, es decir, no empeora con el tiempo. Se caracteriza principalmente por debilidad o parálisis de los músculos faciales y por la dificultad para mover los ojos de lado a lado, indica Medline Plus.
Esto ocurre porque, durante el desarrollo fetal, se ven afectados principalmente dos nervios craneales:
- el nervio facial (VII), encargado de la expresión del rostro, y
- el nervio abducens (VI), que permite mover los ojos hacia afuera.
En términos cotidianos, esto puede traducirse en poca expresión facial, dificultad para sonreír, parpadear con normalidad o mover la mirada lateralmente.
Dependiendo de cada persona, también pueden presentarse retos relacionados con la alimentación, el habla o la deglución, especialmente durante los primeros años de vida. La forma en que se manifiesta el síndrome es muy variable: no hay dos casos idénticos.
La experiencia clínica documentada por instituciones públicas confirma esta diversidad. Por ejemplo, la Asociación Española de Pediatría ha publicado estudios basados en expedientes de pacientes pediátricos, donde se describen manifestaciones oculares y sistémicas asociadas al síndrome, subrayando la importancia del seguimiento especializado y la atención temprana.

Por qué se conmemora el Día de Concientización sobre el Síndrome de Moebius
El 24 de enero se reconoce a nivel internacional como el Día de Concientización sobre el Síndrome de Moebius, impulsado principalmente por organizaciones civiles y fundaciones especializadas.
La fecha suele asociarse con Paul Julius Möbius, neurólogo alemán que, a finales del siglo XIX, describió por primera vez el conjunto de características que hoy llevan su nombre.
Más allá del dato histórico, la efeméride cumple un objetivo claro: visibilizar una enfermedad rara que enfrenta un doble desafío.
Por un lado, el reto clínico, marcado por el bajo conocimiento médico general y el riesgo de diagnósticos tardíos. Por otro, el reto social, que incluye estigmas, desinformación y aislamiento, especialmente en la infancia.
¿Qué busca la conmemoración?
Las campañas y actividades del 24 de enero suelen girar en torno a cuatro objetivos centrales:
- Dar visibilidad a una condición poco conocida, que con frecuencia se interpreta de forma errónea.
- Promover el diagnóstico temprano, especialmente en recién nacidos y niños pequeños, para facilitar la intervención oportuna.
- Impulsar una atención multidisciplinaria, ya que el manejo del síndrome puede involucrar pediatría, neurología, oftalmología, rehabilitación, terapia de lenguaje y apoyo psicológico.
- Abrir la conversación sobre derechos e inclusión, recordando que la expresión facial no define la vida emocional ni intelectual de una persona.
En México, esta visión de atención integral también se refleja en publicaciones institucionales. La Revista Médica del IMSS, por ejemplo, ha difundido informes de caso clínico sobre síndrome de Moebius, dirigidos a fortalecer el reconocimiento del padecimiento dentro del sistema de salud y mejorar la coordinación entre especialidades.

La ciencia amplía la conversación
Durante años, el síndrome de Moebius se explicó casi exclusivamente desde la imposibilidad de sonreír. Sin embargo, la investigación reciente ha ampliado el enfoque y ha dejado claro que vivir con Moebius implica dimensiones de salud y bienestar que merecen ser nombradas y atendidas.
Genética: no existe una sola causa
En 2025, se publicó el estudio más amplio hasta ahora sobre el síndrome de Moebius, con 149 personas diagnosticadas, análisis clínicos detallados y secuenciación genética en un subgrupo.
Los resultados confirmaron algo clave para las familias: no existe una única causa genética que explique todos los casos. Esto refuerza la necesidad de seguir investigando y de no simplificar el origen del síndrome.
Sueño: un aspecto poco visible
Ese mismo año, otro estudio analizó la salud del sueño en adultos y niños con Moebius, a partir de reportes directos y de cuidadores. Los hallazgos mostraron que existen alteraciones del descanso que suelen pasar desapercibidas, lo que amplía la comprensión del impacto cotidiano del síndrome. Concientizar, en este contexto, también significa reconocer que no todo se ve en el rostro.
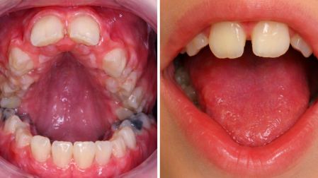
Salud bucal y atención integral
Una revisión publicada en BMC Oral Health puso atención en los hallazgos dentales y orales en personas con Moebius. El mensaje es claro: la atención de las enfermedades raras también debe incluir prevención y acceso a servicios odontológicos, un aspecto frecuentemente olvidado en la cobertura general.
México: qué rutas oficiales existen
En el país, diversas instituciones públicas han documentado su experiencia clínica; sin embargo, no hay estadísticas nacionales “claras” o un registro público único que concentre todos los casos:
- Instituto Nacional de Pediatría (INP): Reporta que revisaron 64 expedientes clínicos de niños con síndrome de Möebius.
- Instituto Nacional de Perinatología (INPer): documentación institucional sobre la Secuencia de Moebius.
- IMSS: informes clínicos publicados y acciones de diagnóstico y atención para enfermedades raras dentro de su red hospitalaria.
Para las familias, la recomendación básica y responsable es clara: si un recién nacido presenta poca expresión facial persistente, dificultades importantes para succionar o mover los ojos, es fundamental acudir a valoración pediátrica y no normalizar estas señales.
Concientizar también es incluir
Uno de los mensajes más importantes del 24 de enero es social. El síndrome de Moebius puede limitar la expresión facial, pero no define la capacidad emocional, intelectual o afectiva de una persona. Concientizar implica aprender a escuchar, observar el contexto y evitar juicios injustos.
En la práctica, esto se traduce en acciones concretas:
- En la escuela, promover empatía y evitar burlas.
- En la consulta médica, no minimizar síntomas y coordinar especialidades.
- En el trabajo, evitar cualquier forma de discriminación.
Cómo sumarse este 24 de enero
- Comparte información verificada y con fuentes confiables.
- Si cuentas historias, evita el tono “inspiracional” vacío y enfócate en derechos y accesibilidad.
- Difunde recursos de organizaciones serias y evidencia científica reciente.
- Desde la educación y la salud, aprovecha la fecha para reforzar la sospecha clínica y la inclusión.
La conmemoración del 24 de enero recuerda que el síndrome de Moebius no es solo un tema clínico, sino también un desafío social. La evidencia científica reciente y la experiencia de instituciones mexicanas muestran que se trata de una condición real, presente y diversa, que requiere atención médica coordinada y entornos más empáticos.
Concientizar implica dejar atrás los prejuicios asociados a la expresión facial y reconocer que no sonreír no significa no sentir. Hablar del síndrome de Moebius es, en el fondo, hablar de acceso a la salud, inclusión y del derecho a ser comprendido más allá de la apariencia.
EL EDITOR RECOMIENDA



