Aumentan muertes por tuberculosis por primera vez en años
En su informe anual sobre la tuberculosis publicado el jueves, la agencia de salud de la ONU señaló que 1,5 millones de personas en todo el mundo murieron a causa de la enfermedad bacteriana el año pasado

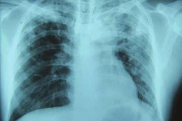
El número de muertes por tuberculosis aumentó por primera vez en más de una década, en gran parte porque menos personas se realizaron pruebas y se atendieron a medida que se desviaron recursos para combatir la pandemia de coronavirus, indicó la Organización Mundial de la Salud (OMS).
En su informe anual sobre la tuberculosis publicado el jueves, la agencia de salud de la ONU señaló que 1,5 millones de personas en todo el mundo murieron a causa de la enfermedad bacteriana el año pasado, un ligero aumento respecto de las 1,4 millones de muertes en 2019. Se han encontrado rastros de la enfermedad en momias egipcias y se cree que ha matado a más personas en la historia que cualquier otro padecimiento infeccioso, incluyendo el sida y la malaria.
La OMS también subray que muchas menos personas fueron diagnosticadas con tuberculosis el año pasado: 5,8 millones frente a 7,1 millones en 2019. La agencia también estima que cerca de cuatro millones de personas padecen tuberculosis pero aún no han sido diagnosticadas, comparado con 2,9 millones de personas en 2020.
La enfermedad es causada por una bacteria que a menudo infecta los pulmones y es altamente transmisible cuando los enfermos tosen o estornudan. Aproximadamente una cuarta parte de la población mundial tiene una infección de tuberculosis latente, lo que significa que son portadores de la bacteria, pero no se han enfermado y no pueden transmitirla. Aquellos que albergan la bacteria tienen entre 5 y 10% de posibilidades de desarrollar tuberculosis.
La enfermedad es tratable si se detecta a tiempo, pero las versiones resistentes a los medicamentos han complicado los esfuerzos de tratamiento. Los países con el mayor número de casos de tuberculosis son India, China, Indonesia, Filipinas, Nigeria, Bangladesh y Sudáfrica.
La OMS destacó que la inversión mundial en los esfuerzos contra la tuberculosis ha disminuido.

***MJPR***
EL EDITOR RECOMIENDA



