Descubren feto creciendo en el cráneo de una bebé de 1 año; era su gemela
Los médicos descubrieron que el feto tenía columna vertebral y huesos, y el comienzo de una boca, ojos, cabello, antebrazos, manos y pies. Medía 18 centímetros de largo.

Los gemelos son verdaderamente una maravilla de la naturaleza, ya sea compartiendo genes o simplemente llegando al mundo al mismo tiempo, cada par de gemelos tiene una historia y una conexión únicas que los hacen especiales.
Te puede interesar: 'Extraño caso', científicos extraen gemelo parásito del cerebro de una bebé
Y aunque el mundo de los gemelos es verdaderamente fascinante y lleno de sorpresas, existen casos que desafían a la ciencia y motivan a los especialistas a seguir investigando al respecto a fin de conocer lo que ocurre durante el proceso de formación de un embarazo múltiple.
Bebé de un año nace con feto atrapado en su cerebro
Y es que recientemente neurocirujanos chinos atendieron una situación inusual en donde una bebé de un año nació con un feto atrapado dentro de su cráneo, por lo que fue sometida a una delicada cirugía para removerlo.
Autores del estudio y anestesiólogos del Hospital Internacional de la Universidad de Pekín en Beijing, China, publicado en el American Journal of Case Reports, detallaron que, durante un chequeo normal a las 33 semanas, los médicos descubrieron algunas "anomalías" en el cráneo del embrión en desarrollo.
Así, determinaron realizar una cesárea a la madre a las 37 semanas y fue cuando notaron que la cabeza de la bebé era más grande de lo normal, pero regresó a casa con su madre desde el hospital. Un año después, ingresó en el Hospital Internacional de la Universidad de Pekín porque tenía la cabeza hinchada y no se desarrollaba normalmente.

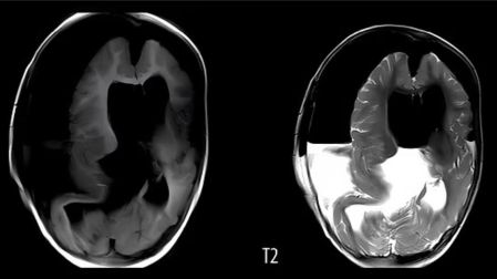
Los médicos le realizaron una tomografía computarizada de la cabeza y descubrieron una masa de 13 centímetros de diámetro en el cráneo, apenas más grande que una pelota de béisbol. Dentro de la masa había grandes trozos de hueso.
Al intentar extirparlo, los médicos descubrieron que el feto tenía columna vertebral y huesos, y el comienzo de una boca, ojos, cabello, antebrazos, manos y pies. Medía 18 centímetros de largo.
El gemelo provocó una "grave compresión del tejido cerebral" de la bebé, por lo que la pequeña nunca despertó de la cirugía y estuvo conectada a un respirador artificial mientras sufría convulsiones después de la operación.
Doce días después de la cirugía, la familia decidió desconectarla del soporte vital.
Fenómeno “fetus in fetus”
Los médicos indicaron que la pequeña presentaba una inflamación severa en la cabeza y retrasos en su desarrollo, lamentablemente, la condición era tan grave que la niña falleció quince días después de la operación, ya que el daño en su cerebro era demasiado extenso para sobrevivir.
Este fenómeno extremadamente raro, conocido científicamente como “fetus in fetus”, ocurre en aproximadamente 1 de cada 500 mil nacimientos. Dentro del cráneo, solo se han documentado 18 casos de esta inusual afección.

También puedes leer: Adolescentes en TikTok se enteran de que son gemelas que fueron secuestradas al nacer
Hasta el momento, los especialistas no han logrado descifrar porque o como ocurrió este fenómeno, sin embargo, saben que se presenta durante el desarrollo dentro del útero, cuando los gemelos idénticos, que se forman cuando dos óvulos se dividen, no se separan por completo.
Luego, un gemelo queda atrapado dentro del otro y puede continuar desarrollando características como uñas, cabello y extremidades. En el 80 por ciento de los casos, el tejido fetal absorbido se aloja en el abdomen, donde los médicos tienen una alta probabilidad de extirparlo sin dañar al paciente.
CONSULTA AQUÍ LAS NOTICIAS DE ÚLTIMA HORA
*brc
EL EDITOR RECOMIENDA



