¿Cuáles son las enfermedades más comunes y cuáles tienen cura?
La lista de los padecimientos más frecuentes entre la población mexicana según el Anuario Epidemiológico de la Secretaría de Salud.
Te contamos sobre los padecimientos más frecuentes en la población mexicana, los síntomas de cada una y si es posible prevenirlas.
Leer también: ¡Otra vez! UNAM recomienda uso de cubrebocas en espacios cerrados por Covid-19
Las 7 enfermedades más comunes en México:
1. Infecciones respiratorias agudas
Son las enfermedades que afectan nariz, garganta, pulmones y oídos, son causadas por microorganismos que se transmiten de persona a persona,
La enfermedad no requiere de tratamiento avanzado y duran menos de 15 días.
2. Infección de vías urinarias
La enfermedad se produce por bacterias que pueden afectar desde la vejiga hasta los riñones y causan un aumento en la necesidad de orinar así como molestias al hacerlo.
Tener hábitos adecuados de higiene genital y beber suficiente agua durante el día puede ayudar a prevenirlas.
3. Infecciones gastrointestinales
Es de las enfermedades más comunes en México, por lo regular son ocasionadas por microosganiscos y sus síntomas incluyen diarrea y deshidratación.
Cuidados pueden ayudar a prevenirlas:
- No comer en la calle
- Lavarse las manos antes de comer y tras ir al baño
- Desinfectar frutas y verduras
- Tomar agua hervida o embotellada
4. COVID-19
Ocupó el cuarto lugar entre las enfermedades más comunes en México, fue la primera de las causas de muerte del 2021.
El virus SARS-CoV-2 se trasmite entre personas al estar en contacto cercano y causa síntomas respiratorios.
La medida preventiva
- Vacunación, uso de cubrebocas, higiene de manos, distanciamiento social y evitar tocarse los ojos.
5. Obesidad
La obesidad y el sobrepeso es la acumulación anormal o excesiva de grasa en el cuerpo.
Es uno de los principales factores de riesgo para padecimientos crónicos, en diabetes, mellitus, cáncer o enfermedades del corazón.
Recomendaciones hechas por los especialistas:
- Reducir el consumo de grasas y azúcares.
- Aumentar la ingesta de frutas, verduras, legumbres, cereales y frutos secos.
- Hacer actividad física.
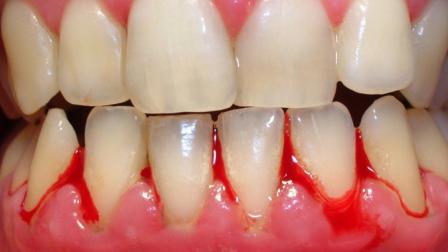
6. Gingivitis y enfermedad periodontal
La gingivitis es inflamación, deterioro e infección de las estructuras que rodean y sostienen los dientes.
Cuando no se controla puede provocar enfermedad periodontal, puede derivar a una pérdida de encías y dientes, mal aliento, dolor e infecciones frecuentes.
Es importante tener una buena técnica de cepillado, usar hilo dental y pastillas reveladoras de suciedad. Es recomendable visitar al odontólogo al menos cada seis meses para una valoración.
7. Hipertensión arterial
Una de las enfermedades más comunes en México y consiste en el aumento de la presión sanguínea, a medida que progresa puede causar diversas molestias y graves complicaciones como enfermedades cerebrovasculares. La prevención incluye implementar hábitos saludables como una alimentación adecuada y ejercicio.
*LDH*
EL EDITOR RECOMIENDA










