¿Sabías que hay una parte del cuerpo que nunca se regenera? Te contamos
Los dientes son vitales para la digestión, pero no se regeneran ni curan. Te explicamos cómo protegerlos.

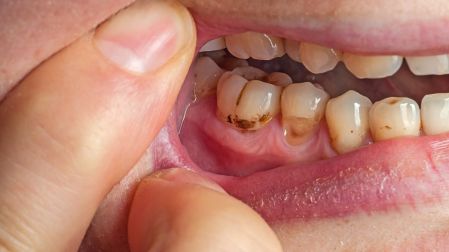
¿Sabías que hay una parte del cuerpo que no puede regenerarse por sí sola? Si alguna vez te has hecho esta pregunta, la respuesta está más cerca de lo que crees: los dientes.
Aunque son esenciales para triturar los alimentos y facilitar la digestión, los dientes no pueden curarse por sí mismos. Aquí te contamos por qué y cómo puedes protegerlos.
¿Por qué los dientes no se regeneran?
Una vez que el esmalte dental se daña, el cuerpo no tiene la capacidad de repararlo por completo. Esto ocurre porque las células que forman los dientes mueren después de la erupción dental.
Por eso, cuando aparece una caries o una fisura, no debes dejar pasar el tiempo. Lo ideal es acudir al dentista lo antes posible para evitar complicaciones mayores.

¿Qué pasa si no se trata un diente dañado?
Ignorar una caries o cualquier problema dental puede afectar mucho más que tu sonrisa. Estas son algunas de las complicaciones más comunes:
1. Endocarditis:
Ocurre cuando los gérmenes de la boca se diseminan por la sangre y se adhieren a ciertas zonas del corazón.
2. Enfermedades cardiovasculares:
Las infecciones bucales pueden relacionarse con arterias obstruidas, enfermedades cardíacas e incluso accidentes cerebrovasculares.
3. Complicaciones en el embarazo:
La periodontitis o enfermedad de las encías se ha asociado con partos prematuros y bajo peso al nacer.
4. Neumonía:
Algunos gérmenes presentes en la boca pueden llegar a los pulmones, provocando infecciones respiratorias.

¿Qué es la remineralización dental?
De acuerdo con los Institutos Nacionales de la Salud, la remineralización es una terapia no quirúrgica que ayuda a detener o revertir las lesiones iniciales de caries.
Incluye el uso de flúor, una buena higiene dental y cambios de comportamiento que favorezcan la salud bucal.
Sin embargo, esta técnica solo funciona en las primeras etapas del daño.
Enfermedades que pueden afectar tus dientes
Según Mayo Clinic, existen enfermedades que impactan directamente en la salud de los dientes y las encías:
1. Diabetes:
Debilita la capacidad del cuerpo para combatir infecciones, lo que aumenta el riesgo de enfermedad periodontal.
2. VIH o SIDA:
Puede causar llagas dolorosas en la boca, conocidas como lesiones de la mucosa.
3. Cáncer:
Algunos tipos, como el de boca, pulmón, mama o útero, están vinculados con enfermedades de las encías.
4. Alzheimer:
A medida que la enfermedad avanza, la salud bucal también puede deteriorarse debido a la dificultad para mantener rutinas de higiene.

Consejos para cuidar tus dientes
Cuidar tu salud dental es una inversión en tu bienestar general. Aquí algunas recomendaciones básicas:
- Cepíllate los dientes al menos dos veces al día.
- Cambia tu cepillo cada 3 o 4 meses.
- Usa hilo dental todos los días.
- Evita el exceso de azúcares y el tabaco.
- Consume alimentos saludables.
- Visita al dentista al menos una vez al año.

Recuerda que los dientes son únicos y no se regeneran por sí solos. Mantenerlos sanos depende de ti. Cuídalos hoy para seguir sonriendo mañana.
EL EDITOR RECOMIENDA



