Ultrasonido de una panda embarazada conmovió en redes
El zoológico de Berlín difundió un breve video del ultrasonido de una panda embarazada. El video es impresionante

BERLÍN, ALEMANIA.
El zoológico de Berlín espera escuchar pronto el golpeteo de las patitas de un panda.
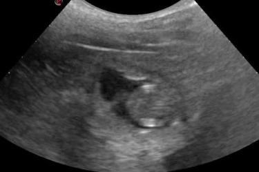
El recinto de animales publicó el martes en su página de Facebook unos segundos del ultrasonido de Meng Meng, una panda de 6 años, que muestra “un mini panda con su corazón latiendo rápido”.
Mini-Panda auf Ultraschall im Zoo Berlin zu sehenBum-bum, bum-bum, bum-bum – Bei der Ultraschall-Untersuchung heute Morgen zeigte sich ein Mini-Panda mit schnell schlagendem Herz Noch ist der Nachwuchs zwar winzig, bis zur Geburt dauert es trotzdem nicht mehr lange
Publicado por Zoo Berlin en Martes, 27 de agosto de 2019
No falta mucho para el nacimiento, indicó, aunque el zoo no dijo para cuándo estaba programado.
Meng Meng se apareó por primera vez con Jiao Qing, de 9 años, en abril y también fue inseminada artificialmente para aumentar las probabilidades de un embarazo. Los expertos que trabajan en el zoológico dijeron a mediados de agosto que estaban 85% seguros de que Meng Meng estaba encinta.
Meng Meng y Jiao Quin llegaron de China en junio de 2017.

'Chata', la gatita que duerme como humano y robará tu corazón
Niño víctima de bullying se suicida frente a compañeros
Joven ofrece clases de 'mate' en el parque y en redes lo amaron
Graban a mujer comiendo tacos con unas tijeras en el metro
Médico amputa pierna equivocada a mujer diabética
Perrito pierde juicio contra exdueña acusada de maltrato
Hallan en 'refri' cuerpo de joven desaparecido hace diez años
La falla de San Andrés, origen de un gran terremoto: expertos
