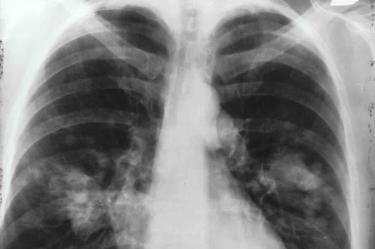
Muertes por cáncer de pulmón aumentarán por falta de diagnóstico temprano: INCAN
La mortalidad por cáncer de pulmón podría aumentar entre un 20 y un 35% debido a que durante esta pandemia, los pacientes no asisten a diagnosticarse, ni a sus consultas, por miedo a contagiarse

CIUDAD DE MÉXICO
En México, la mortalidad por cáncer de pulmón podría aumentar entre un 20 y un 35 por ciento, debido a que durante esta pandemia de COVID-19, los pacientes no asisten a diagnosticarse, ni a sus consultas, por miedo a contagiarse o porque su hospital fue designado para atender a pacientes con coronavirus, alertó Oscar G. Arrieta Rodríguez Coordinador de la Unidad Funcional de Oncología Torácica del Instituto Nacional de Cancerología (INCAN).
“Si hay un retraso de tres o cuatro meses en etapas tempranas de este tipo de cáncer, se espera un incremento de la mortalidad de un 20 por ciento. Si está, localmente avanzado, el aumento será de alrededor de un 35 por ciento y en fase metastásica alrededor del 20 por ciento… a nivel global va a haber un incremento del 20 o 25 por ciento de mortalidad de pacientes con cáncer de pulmón por no asistir a recibir atención”, detalló.
Te puede interesar: Descubren 568 genes con potencial para producir cáncer
Tras participar en el foro “Factores de riesgo y tratamiento para pacientes con cáncer durante la pandemia” de AstraZeneca, Oscar Arrieta Rodríguez, especialista del INCAN, añadió que los pacientes con cáncer de pulmón y diferentes tipos de leucemias, que se contagian de COVID-19 están registrando una mortalidad de alrededor del 55 por ciento.
Situación que representa el doble de riesgo, frente al 28 por ciento de mortalidad que se reporta en pacientes con otro tipo de neoplasias que se infectan del virus SARS-CoV-2.
Por lo anterior, considerando que el cáncer de pulmón ocupa el primer lugar de muerte dentro de todos los tipos de neoplasias, el oncólogo hizo un llamado a los pacientes para que no interrumpan sus tratamientos, porque cada día sin atención médica, reduce su tiempo de sobrevida.

EL EDITOR RECOMIENDA



